Our

technologies

The latest technologies
for optimal results

The new era of digital dentistry and the advent of artificial intelligence allow us to obtain more predictable diagnoses and treatments.

Canadian dental care plan provider

Pricing equal to provincial guide

DIGITAL INTRAORAL RADIOGRAPHY

Ultra-high resolution wireless sensor for exceptional image quality that allows you to see on screen and establish precise diagnosis with less radiation.

DIGITAL PANORAMIC X-RAY

Allows an overview of the teeth, jawbone and temporomandibular joint with minimal radiation.

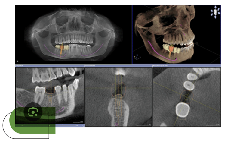
DIGITAL 3D SCANNING

Three-dimensional X-ray of the mouth that allows a precise diagnosis of bone structures and teeth, but also to measure and plan the placement of an implant with the help of a 3D surgical guide.

INTRA-ORAL CAMERA

Allows to document and demonstrate the different clinical observations.

DIGITAL CAMERA

Used to document dental treatments and inform the patient.

3D DENTAL PRINTER

Used to print study models, surgical guides for implant placement and occlusal plates.

INTRA-ORAL SCANNER

Used to take digital impressions that will be used to make ceramic restorations, veneers, crowns and bridges. Also allows you to visualize all structures such as the gum and teeth in 3D on screen and educate the patient.

SMILE SIMULATOR

With the help of artificial intelligence, discover your new smile.

CHAIR WHITENING BRILLIANCE

Allows teeth to be whitened in the clinic with an accelerator lamp that activates the product in the mouth.